-
안녕하세요! 오늘은 치아보험 추천상품과 가입 시 체크해야 할 포인트를 정리해보겠습니다. 최근 치과 치료비가 꾸준히 오르면서 충치, 스케일링, 임플란트 등으로 지출 부담을 느끼는 분들이 많죠.
특히 2025년 현재는 임플란트 1개당 100만 원을 훌쩍 넘는 경우도 흔해, 치아보험 추천상품 비교 및 가입의 필요성이 더 커지고 있습니다.




치아보험 추천상품 비교 및 가입 꿀팁 2025년 1. 치아보험이란 무엇일까?
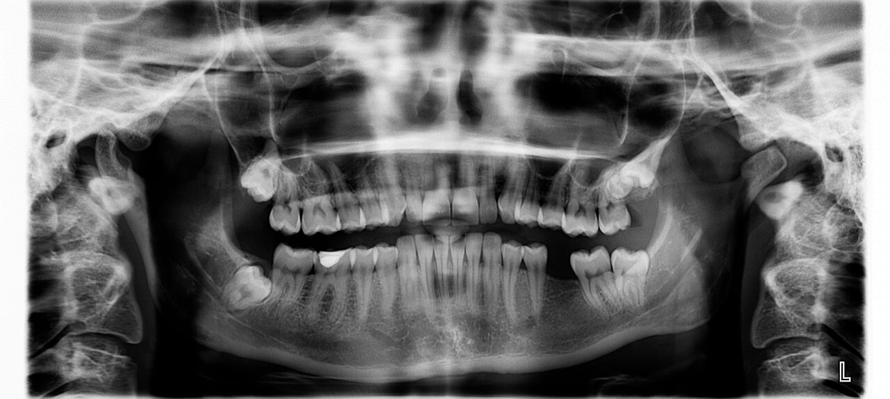
치아보험은 충치 치료, 발치, 보철(크라운, 브릿지, 임플란트 등)과 같은 치과 진료 시 발생하는 본인 부담금을 보장해주는 보험입니다. 건강보험에서 일부만 지원되는 치과 치료를 대비할 수 있어 실질적인 의료비 절감 효과가 있으니 꼭 필수로 하나씩은 들어놓길 권장합니다.
2. 치아보험 추천상품 가입 시 체크포인트
- 임플란트, 크라운 등 보철 치료 보장 여부
- 스케일링 및 충치 치료 보장 횟수
- 치과 진료 대기기간(면책기간) 확인
- 갱신형 vs 비갱신형 여부 확인



치아보험 추천상품 비교 및 가입 꿀팁 2025년 *중요
특히 보철 치료 보장 범위와 횟수는 꼭 확인해야 합니다. 보장 항목이 제한적이면 실제 치료 시 혜택이 거의 없을 수 있기 때문입니다.
3. 2025년 치아보험 추천상품 TOP 3
- 라이나생명 치아보험 (추천)가장 많은 가입자가 선택하는 스테디셀러 상품입니다. 현재 저도 사용하고 있으며 임플란트와 크라운, 브릿지 등 보철 치료 보장 범위가 넓고 스케일링·충치 치료까지 고르게 커버합니다. 특히 청구 절차가 간단하고, 모바일 청구 시스 템이 편리해 만족도가 높습니다. 다른 상품 대비 보장 범위와 보험료의 균형이 가장 좋아 2025년 치아보험 추천삼품 1순위입니다.



치아보험 추천상품 비교 및 가입 꿀팁 2025년 - DB손해보험 다이렉트 치아보험은 합리적인 보험료가 장점이며, 기본적인 충치·스케일링 보장은 충분하여 치아보험 추천상품에 넣었습니다. 다만 임플란트 보장은 횟수 제한이 있어, 보철 치료를 자주 받는 분에겐 아쉬울 수 있습니다.
- 메리츠화재 치아보험은 어린이·청소년 치아보험으로 인기 있으며, 충치·스케일링 중심의 보장에 특화돼 있습니다. 성인용으로는 임플 란트 보장이 다소 제한적입니다.



치아보험 추천상품 비교 및 가입 꿀팁 2025년 4. 치아보험 추천상품 가입 꿀팁
- 임플란트 경험이 있거나 예정이라면 라이나생명 상품이 유리
- 보험료는 갱신형보다 비갱신형을 선호하면 장기적으로 안정적
- 모바일 청구 가능한 보험사 선택 시 편리함 극대화
5. 치아보험 추천상품 가입 및 상담
치아보험은 라이나생명 치아보험 홈페이지나 각 보험사 다이렉트 채널에서 비교 후 가입할 수 있습니다.
라이나생명 치아보험
처브그룹 라이나생명은 생명보험회사로 고객의 건강과 웰빙 그리고 안정을 돕는다는 기업 미션을 바탕으로 혁신과 신뢰를 기업의 핵심 가치로 삼고 지속적인 성장을 기록하고 있습니다.
www.lina.co.kr
최근에는 모바일 앱에서도 간편하게 설계 및 청약이 가능합니다.
'보험 정보' 카테고리의 다른 글
암보험 비갱신형 추천 및 나에게 맞는 보험 알아보기 (2) 2025.07.17 실비보험 청구방법 2025년, 꼭 알아야 할 핵심 총정리 (2) 2025.07.02 건강보험공단 환급금 조회 (2) 2025.06.30 보험 정보: 실손보험 이란, 초보자도 5분만에 이해하는 가이드와 2025년부로 개정된 실손보험 내용 총정리 및 신청 꿀팁 (3) 2025.05.29